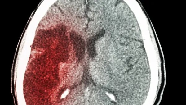
脑出血偏瘫能恢复吗脑出血偏瘫可以恢复。如果病情相对较轻,也可以选择保守治疗来有效控制病情,因为脑出血后很可能形成颅内高压。如果颅内高压得不到有效控制,很可能导致死亡。因此,应该尽最大努力挽救生命。挽救生命的最佳方法是选择保守治疗,然而,如果情况严重,可能也有必要选择手术治疗。

治疗方法脑出血的主要原因是情绪不佳,因此应该有效地保持乐观情绪,避免情绪激动,这也是一个非常关键的问题,否则可能会导致更多的事故。中老年人发生脑出血的概率肯定高于年轻人,主要原因也是缺乏锻炼。为了有效地增强体质,应该选择一些温和的运动来避免意外。这些都是非常关键的,在选择运动时,应该结合身体素质来控制时间。应该尽量不要超过半小时,然后可以逐渐增加。

注意事项建议患者出现症状时,要及时去医院进行治疗。希望这篇回答能帮助到您,祝您身体健康,生活愉快。
